2025. 12. 5. 19:16ㆍ진료 과목 안내

통증 교통사고 다이어트 만성피로 호흡기 과민성방광 전립선 여성 건강
안녕하세요?
구로디지털단지에서 매일 환자분들의 건강을 살피고 있는 한방내과 전문의,
송문구입니다.
진료실을 찾는 많은 분들, 특히
직장인 분들을 뵈면 잦은 야근과 업무 스트레스로 인해
만성적인 통증이나 피로를 호소하시는 경우가 많습니다.
"치료받으면 정말 좋아질까?",
"내 몸 상태에 맞는 치료일까?"라는 고민을 안고 오시는 그 마음을 잘 알기에,
더욱 책임감을 느낍니다.
오늘은 저희 한의원이 어떤 원칙과 철학을 가지고 환자분들을 만나고 있는지,
그리고 구체적으로 어떤 도움을 드릴 수 있는지 소개해 드리고자 합니다.
구로디지털단지 한의원을 찾으시는 분들께 유익한 정보가 되었으면 합니다.
1. 진료 원칙과 치료 시스템

본원은 경희의료원 출신의 한방내과 전문의가
진료를 담당합니다.
전통 한의학의 경험적 지혜에 기반하면서도,
최신 의학 연구 결과를 진료 현장에 적극적으로 도입하여
'근거 있는 치료'를 제공하는 것을 원칙으로 합니다.
1) 안정을 넘어선 회복
(1)일상 생활속의 회복
교통사고 후유증이나 급성 목 허리 통증 시, 무조건 누워만 있는 것이 능사는 아닙니다.
한의학에서는 본래 화타(華佗)가 "흐르는 물은 썩지 않고 문의 경첩은 녹슬지 않는다1"라고 하였듯이,
적절한 움직임을 유지해서 기혈의 순환을 도와야 한다고 하였습니다.
뿐만 아니라, 최신 임상 가이드라인에서도,
골절 등 중대한 손상이 없다면,
통증이 허용하는 범위 내에서의 조기 활동(Early Mobilization)이 회복을 앞당긴다고 봅니다.
때문에 허리통증이든 목통증이든 편타손상이든,
일상생활 속 활동성을 유지하라(stay active)고 조언합니다.
저희는 환자분의 상태를 면밀히 파악하여,
일상 복귀를 돕는 적극적인 재활 치료를 계획합니다.
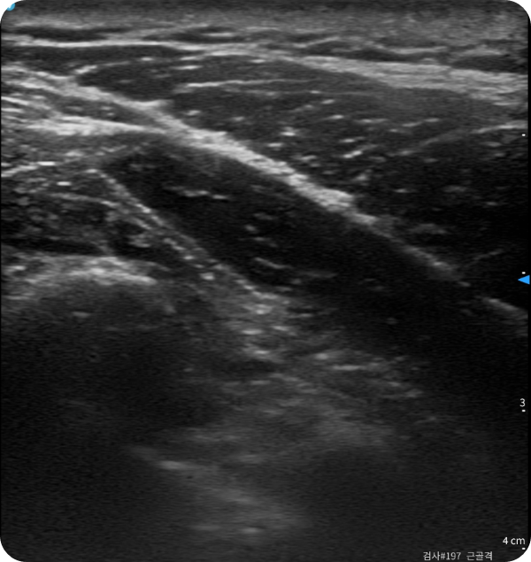
(2) 눈으로 확인하는 정밀함
한의사의 손끝 감각인 촉진(Palpation)에 초음파 영상 기기의 활용으로,
치료의 정밀함을 더하였습니다.
가령, 해부학적 구조가 복잡한 목이나 어깨 관절을 치료할 때,
초음파를 통해 병변 부위를 실시간으로 확인하며 약침(藥鍼)을 시술합니다.
이를 통해 신경이나 혈관 손상을 방지하고,
치료 약물을 정확한 위치에 주입하여 치료 효율을 높입니다.

2) 몸 전체의 균형 회복
다이어트, 만성 피로, 전립선 질환 등은
단순히 증상만 누르는 것이 아니라
몸의 대사 기능을 정상화하는 것이 핵심입니다.
한방내과 전문의가 환자분의 체질과 기혈(氣血) 상태를
종합적으로 고려하여
맞춤 처방을 진행합니다.
특히 다이어트와 전립선 질환의 경우,
원장이 직접 제1저자로 논문을 보고한 바 있습니다.
2. 기대되는 변화
저희 한의원의 진료 시스템을 통해
환자분들은 다음과 같은 구체적인 변화를 기대하실 수 있습니다.
1) 효과적인 통증 제어 및 기능 개선
추나요법(推拿療法)과 정밀한 침 치료를 통해 통증 지수(VAS)를 낮추고,
뻣뻣해진 관절과 근육의 가동 범위를 회복시킵니다.
2) 후유증 및 만성 질환 예방
교통사고 초기부터 일상생활을 유지해서 통증이 만성화되는 것을 막습니다.
3) 대사 기능 정상화와 활력 회복
획일적인 약 처방이 아닌 개인 맞춤형 한약 치료를 통해,
비만이나 만성 피로의 원인이 되는 대사 불균형을 해소하고 신체 본연의 활력을 되찾아 드립니다.
3.결론 및 맺음말
경희송한의원은 환자분의 아픔에 공감하는 따뜻한 마음과,
질환을 정확하게 꿰뚫어 보는 냉철한 시각을 동시에 갖추기 위해 노력합니다.
아픈 몸을 이끌고 주말까지 기다리는 고통을 덜어드리기 위해
평일 밤 9시까지 야간 진료를 시행하고 있습니다.
증상 발생 초기에 적절한 처치를 받는 것이 빠른 회복의 지름길이기 때문입니다.
나에게 꼭 맞는 치료,
근거를 바탕으로 설명해 주는 주치의가 필요하시다면 언제든 편안하게 내원해 주십시오.
구로디지털단지 한의원 진료실에서 여러분의 건강한 일상 복귀를 돕기 위해 기다리고 있겠습니다.
감사합니다.
✨ 이 글은 한방내과 전문의인 경희송한의원 원장이 직접 작성 및 감수했습니다.
(의학정보는 진료를 대신할 수 없으며, 개인의 증상에 따라 진단 및 치료가 달라질 수 있습니다.)
🏥 구로디지털단지 경희송한의원 진료 안내
✅ 경희대학교 졸업, 경희의료원 한방내과 전문의 진료
⏰ 주중 매일 야간 진료: 평일 오전 9시 ~ 오후 9시 (점심시간 없이 진료)
📞 전화 문의: 02-851-8575
📍 오시는 길: 구로디지털단지역 2/6번 출구 도보 1분 (서울시 구로구 시흥대로 571, 부호빌딩 2층)
(토요일 오전 9시~ 오후 3시, 점심시간 없이 진료. 일요일 휴진)

- 流水不腐 戶樞不蠹 . 본래 《여씨춘추(呂氏春秋)》 에 나오는 말이며, 특히 후한 말 관우와 조조와도 일화가 전해지는 명의 화타(華佗)가 인용하여 유명해 집니다. 화타의 오금희(五禽戱)를 창안한 원리이기도 합니다. [본문으로]